1
Https Encrypted Tbn0 Gstatic Com Images Q Tbn 3aand9gcs329sutdv5w1qndclxnhojngd6gq8xvhe3wplcjrtwajoa0gqh Usqp Cau
 
					かさ L Dl Ml プリント ぷりんときっず
 
					Ox Ldl Loading Induces The Secretion Of Visfatin And Resistin In
 
					Metric Measuring Units Worksheets
 
					Bornyl Acetate Suppresses Ox Ldl Induced Attachment Of Thp 1
 
													L dl ml. Omregn nemt Deciliters dl til andre målinger med dette online værktøj.. Machine learning aims to produce machines that can learn from their experiences and make predictions based on those experiences and other data they have analyzed.The Center for Machine Learning at Georgia Tech is an Interdisciplinary Research Center that is both a home for thought leaders and a training ground for the next generation of pioneers.. Your answer will appear in the dL field..
If your data were in mg/mL, maybe you could fix the assay conditions and then develop a calibration curve of activity units vs.. Egy Deciliter hány Milliliter?. A liter is a non-metric unit of volume which is equal to the volume of a cube with 10 cm on each side..
Smallest being uL, largest being m^3.. Also, explore tools to convert milligram/liter or gram/liter to other concentration - solution units or learn more about concentration - solution conversions.. 15 L, l = 15 × 1000 mL = 15000 mL..
So 10 ml/L = 10 ppt dissolved O2.. Mmol/L International standard unit for measuring the concentration of glucose in the blood – also known as millimolar (mM).. According to John McCarthy, ‘The science and engineering of making intelligent machines, especially intelligent computer programs’ is Artificial ..
Si quieres ver más ejemplos de unidades de capacidad, así como ver la conversión de unidades de longitud, masa, superficie, volumen y tiempo, haz click en el.. Using the Mass Concentration in a Solution Converter Converter.. Kiloliter (kl) hectoliter (hl) decaliter (dal) liter (l) deciliter (dl) centiliter (cl) milliliter (ml) metric volume units..
1 L, l = 1000 mL 1 mL = 0.001 L, l.. Originated from an ancient French measurement system, .. 小学2年生の、かさ「L・dL・mL」プリントです。1年生の時には かさ比べという授業で 「かさ」について簡単に学習しましたが、 2年生ではL(リットル)dL(デシリットル)mL(ミリリットル)について学習していきます。 ちなみに皆さんが学習した時は「ℓ・dℓ・mℓ」で筆記体表記で覚えたと ..
There are 10 deciliters in a liter.. Mmol/L, µmol/L, mcmol/L, umol/L ,µM/L, mcM/L, uM/L, micromol/L, g/L, g/dL, g/100mL, g%, mg/mL Albumin is a carbohydrate‑free protein, which constitutes 55‑65 % of total plasma protein.. One graphic to explain AI, ML, DL and Data Science..
But please note that this equivalence would be true .. For every 1 mL of O2, there are 1000mL = 1000mg of water.. It maintains oncotic plasma pressure, and is also involved in the transport and storage of a wide variety of ligands and is a source of endogenous amino acids..
Andersens Boulevard 44-46, DK 1553, Copenhagen Denmark · Tel:. Cubic foot (ft 3) cubic inch (in 3) gallon (imperial) (gallon) pint (pint) gallon (u.s.. Sometimes it’s easy to understand, when ..
Join Yahoo Answers and get 100 points today.. Online conversion calculator for many types of measurement units in laboratory and medicine acetone, propanone.. +45 3393 4215 · info@ices.dk.
M^3 > L > dL > cL > mL > uL.. Did you mean microliter?. 1 dl = 100 ml..
M^3 mL cL uL L dL, how do we place these in order?. Your smartphone, your house, your car, and your bank all use artificial intelligence on a daily basis.. Values are valid only on day of printing..
Mililiter to Liter (mL to L) átváltási kalkulátor egy Térfogat átváltó további táblázatokkal és képletekkel.. The concentration unit ml/L is equivalent to parts per thousand;. 1 [mL] = 0,01 [dL].
To understand Artificial Intelligence vs Machine Learning vs Deep Learning, we will first look at Artificial Intelligence... 1 dl = 100 ml.. 10 milliliters (ml) = 1 centiliter (cl) 10 centiliters = 1 deciliter (dl) = 100 milliliters..
To proto protože objem trojrozměrných těles závisí od třetí mocniny jednotek délky - přepočítacího koeficientu metrické soustavy SI, tedy 10 3 = 1000.. Conversion of glucose values from mg/dl to in articles, prefer to use mmol/l.. The millilitre (ml or mL, also spelled milliliter) is a metric unit of volume that is equal to one thousandth of a litre..
Also, if you get a chance could you browse this blog, which I'm writing.. Doug Dutton JAN 2 9 1982 Vice President - Project Management Georgia Power Company P.. Your answer will appear in the dL field..
1 ml = 0.01 dl.. How to Convert Liter to Milliliter.. 6.666667 dL↔in3 1 dL = 6.102374 in3.
It is exactly equivalent to 1 cubic centimetre (cm³, or, non-standard, cc).. Convert 15 L, l to mL:. Conversion for TG (triglycerides) is calculated differently:.
To get from mmol/L to mg/dL multiply by 88.57.. 1 mg-at/l = 15.994x22.391/31.998 = 11.192 ml International Council for the Exploration of the Sea (ICES) · Conseil International pour l'Exploration de la Mer (CIEM) ICES Secretariat · H.. It is a non-SI unit, which recognizes the same volume unit as a cubic decimeter..
Mmol/L is the most common measurement used in the UK with mg/dL predominantly used in the USA and continental Europe.. ML↔mm3 1 mL = 1000 mm3 mL↔um3 1 mL = 1000000000000 um3 mL↔nm3 1 mL = 1.0E+21 nm3 mL↔L 1 L = 1000 mL mL↔kL 1 kL = 1000000 mL mL↔dL 1 dL = 100 mL mL↔cL 1 cL = 10 mL mL↔uL 1 mL = 1000 uL mL↔Cc 1 mL = 1 Cc mL↔Drop 1 mL = 20 Drop mL↔Cup 1 Cup = 250 mL mL↔Teaspoon (metric) 1 Teaspoon (metric) = 5 mL. Medical software, clinical software, medical systems, medical calculators, clinical calculators, medical information processing, practice guidelines, clinical ..
100 ml Conversion base :. DL↔nm3 1 dL = 1.0E+23 nm3 dL↔L 1 L = 10 dL dL↔kL 1 kL = 10000 dL dL↔cL 1 dL = 10 cL dL↔mL 1 dL = 100 mL dL↔uL 1 dL = 100000 uL dL↔Cc 1 dL = 100 Cc dL↔Drop 1 dL = 2000 Drop dL↔Cup 1 Cup = 2.5 dL dL↔Teaspoon (metric) 1 dL = 20 Teaspoon (metric) dL↔Tablespoon (metric) coefficient:. Ez azt jelenti, hogy a Deciliter nagyobb mértékegység mint a Milliliter..
Milliliter = 0,001 L, Metrikus - Liter típusú mértékegység.. This online unit converter allows quick and accurate conversion between many units of measure, from one system to another.. Mg/dl, or milligrams per deciliter, is a measurement that indicates the amount of a particular substance (such as glucose) in a specific amount of blood...
1 L = 1000 mL.. A deciliter is a unit of volume in the Metric System.. Get your answers by asking now..
Základ přeměny jednotek objemu SI je koeficient 1000.. Liter til Milliliter (L til mL) omregningsmaskine for Rumfang konverteringer med ekstra tabeller og formler.. Instant free online tool for milligram/liter to gram/liter conversion or vice versa..
Laskurini.fi -sivustolta löydät laajan valikoiman ilmaisia laskureita, jotka helpottavat arkipäivän pulmatilanteita.. No - 10mL dissolved O2 /L is about 13.3 mg dissolved O2 /L.. Learn more about Artificial Intelligence from this AI Course to get ahead in your career!..
Enter a value in the mL field and click on the "Calculate dL" button.. The symbol for deciliter is dL.. It's possible that you've also had your glucose level assessed..
The litre (British and Commonwealth spelling) or liter (American spelling) (SI symbols L and l, other symbol used:. To get from mg/dL to mmol/L multiply by 0.02586.. Why is the sky blue?.
Below you find a calculator and a rule for conversion of mg/dl in mmol/l and.. But the volume and mass of gases are not equivalent.. Liter (l) deciliter (dl) centiliter (cl) milliliter (ml) metric volume units..
This unit is used in the UK.. The International spelling for this unit is decilitre.. 1 liter = 1000 cubic centimeters 100 centiliter = 1 liter (L) = 1,000 milliliters 1000 liters = 1 kiloliter (km).
Switch units Starting unit.. Gyakori az alkalmazása, liternél kisebb térfogatokra használják.. The SI-unit for mass concentration is kg/m³ (kilogram/cubic meter)..
0.Box 4545 Atlanta, Georgia 30302 cc:. The milligram/liter [mg/L] to gram/liter [g/L] conversion table and conversion steps are also listed.. To get from mmol/L to mg/dL, you need to multiply by 38.67..
Premena jednotiek objemu Vložte objem ako číslo a zvoľte jednotky z ktorej a na ktorú sa má premena jednotiek vykonať.. Which is better, a high or low percentage yield?. Laskurit ovat suomenkielisiä ja helppokäyttöisiä..
Acetone unit conversion to mmol/l, mg/l, mg/dl, mg/100ml, mg%, µg/ml .. µmol/L, mg/L, mg/dL, mg/100mL, mg%, µg/mL Proline is the precursor of hydroxyproline, which is manufactured into collagen, tendons, ligaments, and heart muscle by the body.. +45 3338 6700 · Fax:.
However g/dL (gram/decilitre) and g/ml are often used.. Driver's License - Information on obtaining your GA License or ID, reinstating your license, suspensions, and Licensing FAQs.. ℓ) is a metric unit of volume.It is equal to 1 cubic decimetre (dm 3), 1000 cubic centimetres (cm 3) or 0.001 cubic metre.A cubic decimetre (or litre) occupies a volume of 10 cm × 10 cm × 10 cm (see figure) and is thus equal to one-thousandth of a cubic metre..
Cubic kilometer (km 3) cubic hectometer (hm 3) cubic decameter (dam 3) cubic meter (m 3) cubic decimeter (dm 3) cubic centimeter (cm 3) cubic millimeter (mm 3) imperial and american units.. How to convert mL to dL:. The SI prefix "deci" stands for one-tenth..
1 dl = 100 ml 1 decilitr je 100 mililitrů.. Deciliter [dL] és Milliliter [mL] közötti váltószám 100.. Omregn nemt Milliliter ml til andre målinger med dette online værktøj..
1 [dL] = 100 [mL] Egy Milliliter hány Deciliter?. Popular Volume Unit Conversions. To get from mg/dL to mmol/L multiply by 0.01129..
A decilitre (or deciliter), abbreviated dL or dl, is one tenth of a litre, or 10^?4 m^3, or 100 millilitre.. Proline is involved in wound healing, plays important roles in molecular recognition, and is an important component in certain medical wound dressings that use collagen to .. Například 1 dm 3 = 1000 cm 3.Další důležitý poznatek je definice objemu 1 litr = 1 dm 3..
Ask Question + 100.. – KILOLITER Kiloliter (Kl) menjadi Hektoliter (Hl) => 1 Kl = 10 Hl (Dikali 10) Kiloliter (Kl) menjadi Dekaliter (Dal) => 1 Kl = 100 Dal (Dikali 100) Kiloliter (Kl) menjadi liter (l) => 1 Kl = 1.000 L (Dikali 1.000) Kiloliter (Kl) menjadi Desiliter (Dl) => 1 Kl = 10.000 Dl (Dikali 10.000) Kiloliter […]. L = Liters and 1 liter is equal to 10 deciliter dL = decilter, 1 deciliter is equal to 10 centiliter cL = centiliter, 1 centiliter is equal to 10 mililiter mL = mililiter, 1 militer is equal to 1000.000 µl µl = micorlitre.
 
					Oxidized Ldl Binding To Lox 1 Enhances Mcp 1 Expression In
 
					Effect Of Sodium Ferulate On Il 8 Expression Induced By Ox Ldl In
Gale Academic Onefile Document Oxidative Modification Of Ldl
 
					Frontiers Protective Effect Of Ginkgolic Acid In Attenuating Ldl
 
					Homocysteine Promotes The Ldl Oxidase Activity Of Ceruloplasmin
 
					Ldl R Recombinant Protein Cat No 97 010 Prosci
 
					Fluid Phase Pinocytosis Of Ldl By Macrophages A Novel Target To
 
					Possible Protective Role For C Reactive Protein In Atherogenesis
 
					Glycation Induced Physicochemical Changes In Low Density
 
					Lesional Location Of Lateral Medullary Infarction Presenting
Https Www Tandfonline Com Doi Pdf 10 1080 21691401 2019 1699816
 
					Minimally Oxidized Ldl Inhibits Macrophage Selective Cholesteryl
Plos One Ox Ldl Induces Er Stress And Promotes The Adipokines
 
					Recombinant Human Ldl Receptor Protein Active Ab220570 Abcam
 
					Ldl Clia Kit Rat Ldl Low Density Lipoprotein Clia Kit Adm85894 1
 
					Oxidized Ldl Suppresses Nf Kb And Overcomes Protection From
 
					List The Following Units In Order From Largest To Smallest M3 M
Electronegative Ldl From Rabbits Fed With Atherogenic Diet Is
 
					Concentration Polarization Of Ox Ldl And Its Effect On Cell
 
					A Cytotoxic Electronegative Ldl Subfraction Is Present In Human
Https Encrypted Tbn0 Gstatic Com Images Q Tbn 3aand9gcqmnfo Wqqzhrhdkq9sb4ruzs3 Tetoc2lr7zunjp O3puecmhv Usqp Cau
 
					Deep Learning Wikipedia
 
					The Metric System Conversions Ppt Video Online Download
 
					Plasma Levels Of Von Willebrand Factor In Maintenance Hemodialysis
 
					Buy Human Ldl Elisa Kit Online At Elabscience Com
 
					Oxidized Ldl Triggers Changes In Oxidative Stress And Inflammatory
 
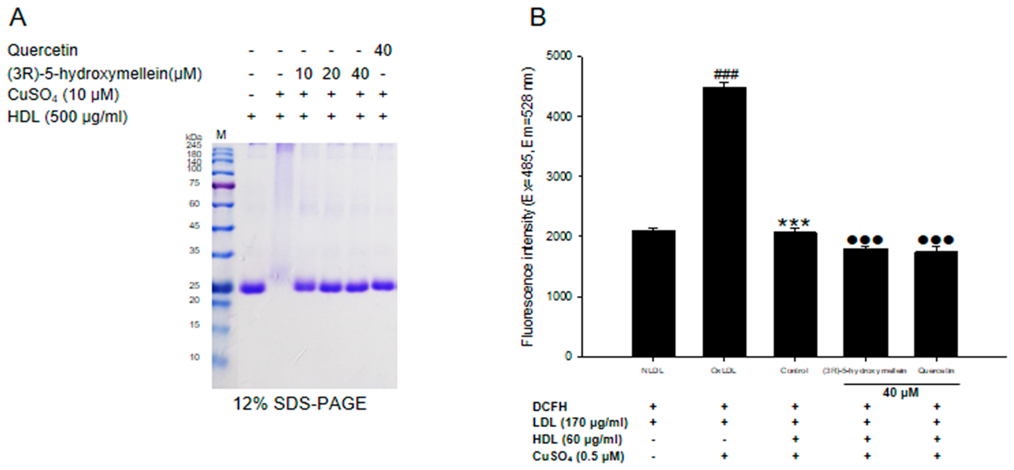
					Ijms Free Full Text Quercetin Suppresses The Progression Of
Https Encrypted Tbn0 Gstatic Com Images Q Tbn 3aand9gcq6aslaeu5zs Y7ggzlcrfzz5pdoelp5q1dj4dxrer 44p Hhw0 Usqp Cau
Plos One Porphyromonas Gingivalis Differentially Modulates Cell
 
					Hyperlipidemia In Concert With Hyperglycemia Stimulates The
 
					Regulatory Effect Of Phikud Navakot Extract On Hmg Coa Reductase
 
					Ctbp1 As2 Inhibits Proliferation And Induces Autophagy In Ox Ldl
 
					Full Text Variable Effects Of Ldl Subclasses Of Cholesterol On
 
					Volym
 
					Integration Of Ml And Dl With Devops By Satvika Kolisetty May
 
					Recombinant Mouse Ldlr Protein 2255 Ld Novus Biologicals
Plos One Atheroprotective Effect Of Oleoylethanolamide Oea
 
					Predictive Value Of Circulating Oxidized Ldl For Cardiac Events In
 
					Lipoprotein Lipase Mediates The Uptake Of Glycated Ldl In
 
					Molecular Mechanisms Of Altered Cholesterol Metabolism In Rats
 
					Tuesday August 20th Please Complete The Warm Up Ppt Download
 
					Glycation Induced Physicochemical Changes In Low Density
Antibody To Oxidized Low Density Lipoprotein Inhibits Thp1 Cells
 
					Circular Rna Circ 0124644 Exacerbates The Ox Ldl Induced
Electronegative Ldl From Rabbits Fed With Atherogenic Diet Is
2
 
					You Must Also Know How To Convert Within The Metric System
 
					Solved It Is Well Established That High Levels Of Serum C
 
					Hyperlipidemia Basicmedical Key
 
					درس قياس السعات L Dl Cl Ml المستوى الثالث ابتدائي Youtube
 
					Lncrna Oip5 As1 Regulates Oxidative Low Density Lipoprotein
 
					Protective Effects Of Probucol On Ox Ldl Induced Epithelial
 
					Prevalence Of Subclinical Hypothyroidism In Coastal Andhra Pradesh
 
					Inhouds Eenheden 1 Mijnrekensite
 
					Unidades De Capacidade L Dl Cl Ml
 
					Oxidized Ldl As A Risk Factor For Cardiovascular Disease In Renal
Gale Onefile Health And Medicine Document Electronegative Ldl
 
					Metric Prefixes Prefix Power Of 10 Value Kilo Ppt Download
 
					درس قياس السعات L Dl Cl Ml مستوى الثالث ابتدائي Youtube
 
					L Dl Cl Ml Capacidad Dm Cm Mm
 
					Figure 3 From Guarana Paullinia Cupana Kunth Effects On Ldl
 
					Magnitudblog
2
 
					Anti Ldlr Antibody Chicken Ldl R Polyclonal Antibody Np 000518
 
					Ml To Liters Chart Vatican
 
					Ldl Inhibits Ldlr Degradation Caused By Exogenous Purified Pcsk9
Https Dash Harvard Edu Bitstream Handle 1 29407635 5024668 Pdf Sequence 1
 
					Ox Ldl Induces Apoptosis In Human Coronary Artery Endothelial
 
					Integration Of Ml And Dl With Devops By Satvika Kolisetty May
 
					23 Dm 3 In L
 
					Biomolecules Free Full Text Anti Atherosclerotic Activity Of
 
					Elevation Of Oxidized Lipoprotein Of Low Density In Users Of
 
					Oxidized Ldl Assay Kit Cml Ldl Human Ab242303 Abcam
 
					Full Text Isoborneol Attenuates Low Density Lipoprotein
 
					Ldl Elisa Kits Biocompare
 
					Ldl Particle Size An Important Drug Target Rajman 1999
 
					Conversion
 
					Bunny Metrics
 
					Hyperlipidemia In Concert With Hyperglycemia Stimulates The
 
					Figure 9 From In Vivo Catabolism Of Biologically Modified Ldl
 
					Effects Of Apob100 Vldl And Ldl On Lipolysis In Human Fat Cells
 
					Ckd Plasma Lipids And Common Carotid Intima Media Thickness
 
					Lpl Hydrolysis Of Ldl Generates Ppar Ligands In A Manner Dependent
 
					Comparison Of The Ldl Receptor Binding Of Vldl And Ldl From Apoe4
Http Www Ijcem Com Files Ijcem0079079 Pdf
 
					Ldl Elisa Kit Rat Okeh03706 Quantitative Sandwich Immunoassay
 
					Guarana Paullinia Cupana Kunth Effects On Ldl Oxidation In
 
					Lncrna Oip5 As1 Contributes To Ox Ldl Induced Inflammation And
 
					Infl Uence Of Indoxyl Sulfate On Aaph Induced Ldl Oxidation A
 
					2012 382
Matematikkens Verden Omgjoring Av Maleenheter Mm3 Cm3 Dm3 M3
2
Matematikkens Verden Omgjoring Av Maleenheter Mm3 Cm3 Dm3 M3
 
					Litrske Magazines
Https Www Tandfonline Com Doi Pdf 10 1080 21691401 2019 1699816
Electronegative Ldl From Rabbits Fed With Atherogenic Diet Is
 
					Figure 2 From Guarana Paullinia Cupana Kunth Effects On Ldl
 
					Cholesterol Ldl Direct